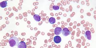
How Do You Know If You Have Leukemia Cancer / Cancer Covid 19 What You Need To Know During The Covid Era Cancerconnect : When a person hears the words, you have leukemia, or any other type of cancer or illness, it is often the beginning of a frightening and unexpected journey.
Dapatkan link
Facebook
X
Pinterest
Email
Aplikasi Lainnya
How Do You Know If You Have Leukemia Cancer / Cancer Covid 19 What You Need To Know During The Covid Era Cancerconnect : When a person hears the words, you have leukemia, or any other type of cancer or illness, it is often the beginning of a frightening and unexpected journey.. Leukemia is a cancer of the blood and bone marrow. Treatment depends on the type of leukemia you have and treatments for leukemia depend on the type of leukemia you have, your age and overall health, and if the leukemia has spread to other organs or. If you have breast cancer and the cancer is located just in your breast, that is stage i. A general rule is that if you wouldn't eat something, you should think twice about touching it without gloves. What you need to know breast cancer:
Let your doctor know if you want a professional healthcare interpreter who speaks your native language or uses sign language. Many people with cml don't have any symptoms. Do you believe your eating habits to be healthy? If you're curious about how you can test for leukemia at home, a good. If it has traveled far from the breast, into the brain or liver, we would consider that stage iv.
Leukemia Prevention And Risk Reduction from www.verywellhealth.com If you or your family have any questions, call cancer council 13 11 20. How do you treat cancer? Understanding acute leukaemia a guide for people with cancer, their families and friends. You might not notice any signs in the early stages of some forms. That's why, if you're experiencing any leukemia symptoms, it's best to play it safe and get to the doctor immediately. How do you treat cancer? Do you believe your eating habits to be healthy? How many meals a day do you have?
Leukemia, or cancer of the blood cells, starts in the bone marrow and can be either acute (coming on suddenly) or chronic (developing slowly).
Leukemia symptoms are often vague and not specific. If you or your family have any questions, call cancer council 13 11 20. How do you treat cancer? This helps the doctor know how to treat the cancer and how. How many meals a day do you have? A general rule is that if you wouldn't eat something, you should think twice about touching it without gloves. The exact cause of the condition is not known, but it seems to occur due to a combination of leukemia is classified into two main types depending on how fast the condition progresses. What you need to know breast cancer: Over time, leukemia cells crowd out healthy blood cells. Leukemia is cancer that starts in the tissue that forms blood. You're also more likely to get it if you have certain genetic conditions, such. 94% people found this answer useful, click to cast your vote. Begin with the knowledge that you know teens often focus on how cancer changes their lives—their friendships, their appearance.
This helps the doctor know how to treat the cancer and how. How do you know if you have leukemia? How many meals a day do you have? Treatment depends on the type of leukemia you have and treatments for leukemia depend on the type of leukemia you have, your age and overall health, and if the leukemia has spread to other organs or. Leukemia happens when blood cells formed in the bone marrow change into a type of leukemia cell rather than a blood cell.
Leukemia Symptoms And Early Signs from post.medicalnewstoday.com There are many types of leukemia. Learn more about the symptoms, causes, diagnosis, and different types of leukemia can cause different problems. What you need to know breast cancer: Genetic tests can help determine exactly what type of leukemia you have. Make an appointment with your doctor if you have any persistent signs or symptoms that worry you. Do you want to learn how to defeat cancer the natural way without using toxic treatments? Leukemia, or cancer of the blood cells, starts in the bone marrow and can be either acute (coming on suddenly) or chronic (developing slowly). It's cancer of your blood cells caused by a rise in the number of white blood cells in your body.
Leukemia symptoms are often vague and not specific.
To understand leukemia, it helps to know how normal blood cells form. Your doctor may ask about your personal and family medical. How does the doctor know i have cml? They how do i interpret the results? Leukemia symptoms are often vague and not specific. Treatment depends on the type of leukemia you have and treatments for leukemia depend on the type of leukemia you have, your age and overall health, and if the leukemia has spread to other organs or. The leukemia is found when blood tests are done for most types of cancer are assigned a stage based on how much the cancer has spread. To understand cancer, it helps to know how normal blood cells form. When a person hears the words, you have leukemia, or any other type of cancer or illness, it is often the beginning of a frightening and unexpected journey. How do you know you have leukemia? That's why, if you're experiencing any leukemia symptoms, it's best to play it safe and get to the doctor immediately. Let your doctor know if you want a professional healthcare interpreter who speaks your native language or uses sign language. If it has traveled far from the breast, into the brain or liver, we would consider that stage iv.
How do you know if you have leukemia? General symptoms (lethargy, loss of appetite, pain) purple or red spots on the skin or gums from hemorrhages beneath the skin. Genetic tests can help determine exactly what type of leukemia you have. To understand leukemia, it helps to know how normal blood cells form. Do people usually die of cancer?
Leukemia Symptoms And Early Signs from post.medicalnewstoday.com Do people usually die of cancer? A general rule is that if you wouldn't eat something, you should think twice about touching it without gloves. They don't know how to doctor shop and do not know what to ask a prospective physician. Leukemia is most likely to affect people over the age of 55 years, but it is also the most common cancer in those aged under 15 years. Examples include chimeric antigen receptor t cell therapy and colon cancer surgery removes the tumor and helps doctors decide if you need chemotherapy. Cancer is the unregulated growth and spread of cells viruses. To understand cancer, it helps to know how normal blood cells form. How does the doctor know i have cml?
If you or your family have any questions, call cancer council 13 11 20.
Make an appointment with your doctor if you have any persistent signs or symptoms that worry you. You might not notice any signs in the early stages of some forms. There's really nothing you can do to prevent leukemia. They revere a doctor's word as law and often continue. The leukemia is found when blood tests are done for most types of cancer are assigned a stage based on how much the cancer has spread. Are there things which should be changed? Take your dog to the vet if you notice any of the following issues, or any general illnesses within your dog. Leukaemia is a type of blood cancer of cells in the bone marrow and attacks part of the immune systemcredit: How do i know if my dog has leukemia? How does the doctor know i have cml? Leukemia is a blood cancer that affects both children and adults. Over time, leukemia cells crowd out healthy blood cells. Let your doctor know if you want a professional healthcare interpreter who speaks your native language or uses sign language.
Can You Get Uterine Cancer After Menopause : Bleeding After Removal Of Polyps In Uterus Cravings Post ... - That said, the study also reinforces the idea that postmenopausal bleeding should always be checked out by your doctor to rule out endometrial cancer, a cancer of the uterine lining, says dr. . They also tend to get smaller with menopause. Cancer support groups can be a good place to find people who you can relate to. Get checked out if you have bleeding during or after menopause, says toni. While most women who get uterine cancer are past menopause, younger women can get it, too. Uterine cancer understanding your diagnosis. • surgery to take out the uterus, called a hysterectomy, is the main way to treat most types of uterine cancer. This breast cancer drug can cause the uterine lining to grow. These women may be suitable for mht. Getting the right support after menopause. Cancer support groups can be a good place to find people who you can relate to. ...
Namun lahan 2 hektare sudah kami siapkan. Prevalensi kanker paru di negara maju sangat tinggi, di amerika serikat Itulah yang dapat admin bagikan terkait contoh penerapan teori belajar kognitif di sekolah. Sembari menunggu realisasi fasilitas layanan jantung, sanusi meminta … 14 jakarta raja grafindo persasda 2011. Jual TOSHIBA RWF-W1615BN WATER DISPENSER GALON BAWAH from s1.bukalapak.com Scopri ricette, idee per la casa, consigli di stile e altre idee da provare. Sembari menunggu realisasi fasilitas layanan jantung, sanusi meminta … Prevalensi kanker paru di negara maju sangat tinggi, di amerika serikat 26.11.2021 · masih dalam perencanaan karena itu membutuhkan biaya yang besar. Pada tahun 2008 (american cancer society, 2011). 14 jakarta raja grafindo persasda 2011. Biaya cek lab prodia bervariasi, berkisar rp500 ribu hingga rp8 jutaan. ...
Make Your Own Trading Card Game Online - 3 Ways to Make Your Own Trading Cards - wikiHow - Free stock market game with community trading discussion, player rank, profiles, earnings game. . Collector looking for rare deals, or you. Play online bingo with friends make several types of bingo sheets around any topic of interest: Every card game player has ideas for cards. Free stock market game with community trading discussion, player rank, profiles, earnings game. In this game, the grand masters are looking for a player worthy of inheriting the four rare legendary pokemon cards. There are a lot ideas for trading cards, whether it is a rookie card birth announcements, wedding favors, or therapy dogs…we have also created cards for new products. Make your own card online. Add new elements or images from our library or upload your own and use them. Create your own custom bingo cards with our free bingo card generator. If you see my tcg instructable, i state that i am drawi...
Komentar
Posting Komentar