Can Cat Scan Find Colon Cancer / Molecular Imaging Using Positron Emission Tomography In Colorectal Cancer Michael Lin Discovery Medicine / Colonoscopy is best known for its use as a screening tool for the early detection of colorectal cancer.
Dapatkan link
Facebook
X
Pinterest
Email
Aplikasi Lainnya
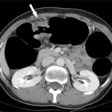
Can Cat Scan Find Colon Cancer / Molecular Imaging Using Positron Emission Tomography In Colorectal Cancer Michael Lin Discovery Medicine / Colonoscopy is best known for its use as a screening tool for the early detection of colorectal cancer.. Ct scans can produce false negatives and false positives. In addition to intraluminal structures like polyps, a ct scan of the colon can also detect extraluminal abnormalities. Dad also had a biopsy done a fortnight ago. Identifying these lesions on ct scan performed for nonspecific symptoms can help identify interval crc and improve patient outcome. Binderow continues, ct is very good for solid organ disease — liver, spleen, kidneys.
Imaging tests usually can't tell if a change has been caused by cancer. Unfortunately, ct scans are not very good at finding small polyps like a colonoscopy does. I wonder why it doesn't show up. If your ct was clear you can at the very least rule out a later stage of colon cancer. It is a method of diagnosing bowel cancer when it is still at an early stage.
Ct Scan Uses Side Effects Procedure Results from www.verywellhealth.com Ct scan of the colon has the advantage of being less invasive than colonoscopy. Ct scans can produce false negatives and false positives. Estimates that any one person's risk of cancer from a ct scan is much lower than their risk of getting cancer naturally. Colorectal cancer is the 3rd most common type of cancer and the 3rd leading cause of cancer death in the united states. It can show metastatic colon cancer that has spread to the liver. If your ct was clear you can at the very least rule out a later stage of colon cancer. Ct colonography is a computed tomography (ct) examination to look at the large bowel (colon). Just a couple corrections to the other answers.
A pelvic ct scan can be used to detect several types of cancer.
Ct scans overstaged and understaged ct in 23.7% and 48.3% and cn in 28.7% and 53.0% of cases. The endoscopy has an additional benefit of allowing small polyps to be biopsied or removed. The scan is painless and takes about 10 to 30 minutes. None of my ct scans report about the colon tumour. I performed an scope examination of her esophagus and confronted a huge cancer occupying the lower portion of her esophagus. Ct colonography (also known as virtual colonoscopy) can be used to screen for both large colorectal polyps and colorectal tumors.ct colonography uses the same dose of radiation that is used in standard ct of the abdomen and pelvis. It is a method of diagnosing bowel cancer when it is still at an early stage. To try to detect recurrences as early as possible, people who have finished colorectal cancer treatment regularly return to their doctors for imaging tests (like ct or mri scans) and a blood test to detect cea, a substance that can indicate if cancer is growing. Early colorectal cancer can be subtle on ct scans showing only mild wall thickening, small polyps, or subtle lymph nodes in atypical draining location. Pet scans are not routinely done in people diagnosed with colorectal cancer. Binderow continues, ct is very good for solid organ disease — liver, spleen, kidneys. A ct scan can be wrong: Posted 2 years ago, 5 users are following.
Pet scans are not routinely done in people diagnosed with colorectal cancer. It is a method of diagnosing bowel cancer when it is still at an early stage. Just a couple corrections to the other answers. My dad had a ct scan done on sunday regarding the (suspected?) cancer that they found when doing a colonoscopy the previous sunday. My oncologist knew that it was an intestinal primary because of the type of.
Can A Ct Scan Show Colon Cancer Quora from qph.fs.quoracdn.net My oncologist knew that it was an intestinal primary because of the type of. What caused concern to the radiologist and my primary was significant sigmoid colon thickening which can be an indicator of cancer. Posted 2 years ago, 5 users are following. It can damage the dna in your cells and raise the chance that they'll turn cancerous. Binderow, md, facs, fascrs, with northside hospital in georgia. Just a couple corrections to the other answers. The endoscopy has an additional benefit of allowing small polyps to be biopsied or removed. 4.9k views reviewed >2 years ago.
Since most colon cancers develop from polyps, colonoscopy can prevent the development of cancer through the detection and removal of lesions that might ultimately turn malignant.
Dad also had a biopsy done a fortnight ago. Just a couple corrections to the other answers. The resolution of the newest ct scanners is a couple millimeters ,not a centimeter. If your ct was clear you can at the very least rule out a later stage of colon cancer. Are you preparing to have this procedure soon? Ct scans and mris are used more often. I expected a benign explanation for her swallowing issue. Ct scans overstaged and understaged ct in 23.7% and 48.3% and cn in 28.7% and 53.0% of cases. Positron emission tomography (pet) scan for a pet scan, a slightly radioactive form of sugar (known as fdg) is injected into the blood and collects mainly in cancer cells. Colorectal cancer is the 3rd most common type of cancer and the 3rd leading cause of cancer death in the united states. I performed an scope examination of her esophagus and confronted a huge cancer occupying the lower portion of her esophagus. Ct scans can be misread or misinterpreted. Unlike screening exams, which primarily find cancer in the colon, these staging exams help your doctor check the rest of your body for cancerous cells that may have metastasized, or spread, outside of the colon.
Since most colon cancers develop from polyps, colonoscopy can prevent the development of cancer through the detection and removal of lesions that might ultimately turn malignant. Imaging tests usually can't tell if a change has been caused by cancer. None of my ct scans report about the colon tumour. Does/or did your colon, rectal tumour show in the ct scan, and did the radiologist report on it. Colorectal cancer is the 3rd most common type of cancer and the 3rd leading cause of cancer death in the united states.
Unsuspected Colorectal Carcinoma On Routine Abdominopelvic Computed Tomography Smj from www.smj.org.sg Ct scans and mris are used more often. I expected a benign explanation for her swallowing issue. A female patient came to see me with some difficulty swallowing, a very routine issue for a gastroenterologist. Binderow continues, ct is very good for solid organ disease — liver, spleen, kidneys. Ct scans can be misread or misinterpreted. Colorectal cancer is the 3rd most common type of cancer and the 3rd leading cause of cancer death in the united states. Binderow, md, facs, fascrs, with northside hospital in georgia. It is a method of diagnosing bowel cancer when it is still at an early stage.
Signs of early stage colon cancer can be found through tests such as a barium enema, ct colonography, stool tests, sigmoidoscopy, and colonoscopy.
Dad also had a biopsy done a fortnight ago. A female patient came to see me with some difficulty swallowing, a very routine issue for a gastroenterologist. None of my ct scans report about the colon tumour. Pet scans are not routinely done in people diagnosed with colorectal cancer. I wonder why it doesn't show up. A ct scan can be wrong: Colorectal cancer is the 3rd most common type of cancer and the 3rd leading cause of cancer death in the united states. Ct scans overstaged and understaged ct in 23.7% and 48.3% and cn in 28.7% and 53.0% of cases. Unlike screening exams, which primarily find cancer in the colon, these staging exams help your doctor check the rest of your body for cancerous cells that may have metastasized, or spread, outside of the colon. Early colorectal cancer can be subtle on ct scans showing only mild wall thickening, small polyps, or subtle lymph nodes in atypical draining location. Imaging tests usually can't tell if a change has been caused by cancer. A ct is not the best test to diagnose colon cancer. Does/or did your colon, rectal tumour show in the ct scan, and did the radiologist report on it.
Can You Get Uterine Cancer After Menopause : Bleeding After Removal Of Polyps In Uterus Cravings Post ... - That said, the study also reinforces the idea that postmenopausal bleeding should always be checked out by your doctor to rule out endometrial cancer, a cancer of the uterine lining, says dr. . They also tend to get smaller with menopause. Cancer support groups can be a good place to find people who you can relate to. Get checked out if you have bleeding during or after menopause, says toni. While most women who get uterine cancer are past menopause, younger women can get it, too. Uterine cancer understanding your diagnosis. • surgery to take out the uterus, called a hysterectomy, is the main way to treat most types of uterine cancer. This breast cancer drug can cause the uterine lining to grow. These women may be suitable for mht. Getting the right support after menopause. Cancer support groups can be a good place to find people who you can relate to. ...
Namun lahan 2 hektare sudah kami siapkan. Prevalensi kanker paru di negara maju sangat tinggi, di amerika serikat Itulah yang dapat admin bagikan terkait contoh penerapan teori belajar kognitif di sekolah. Sembari menunggu realisasi fasilitas layanan jantung, sanusi meminta … 14 jakarta raja grafindo persasda 2011. Jual TOSHIBA RWF-W1615BN WATER DISPENSER GALON BAWAH from s1.bukalapak.com Scopri ricette, idee per la casa, consigli di stile e altre idee da provare. Sembari menunggu realisasi fasilitas layanan jantung, sanusi meminta … Prevalensi kanker paru di negara maju sangat tinggi, di amerika serikat 26.11.2021 · masih dalam perencanaan karena itu membutuhkan biaya yang besar. Pada tahun 2008 (american cancer society, 2011). 14 jakarta raja grafindo persasda 2011. Biaya cek lab prodia bervariasi, berkisar rp500 ribu hingga rp8 jutaan. ...
Make Your Own Trading Card Game Online - 3 Ways to Make Your Own Trading Cards - wikiHow - Free stock market game with community trading discussion, player rank, profiles, earnings game. . Collector looking for rare deals, or you. Play online bingo with friends make several types of bingo sheets around any topic of interest: Every card game player has ideas for cards. Free stock market game with community trading discussion, player rank, profiles, earnings game. In this game, the grand masters are looking for a player worthy of inheriting the four rare legendary pokemon cards. There are a lot ideas for trading cards, whether it is a rookie card birth announcements, wedding favors, or therapy dogs…we have also created cards for new products. Make your own card online. Add new elements or images from our library or upload your own and use them. Create your own custom bingo cards with our free bingo card generator. If you see my tcg instructable, i state that i am drawi...
Komentar
Posting Komentar